
Протезирование на имплантатах — самый надежный и эстетичный способ восстановления утраченных зубов.
• Мы - специалисты в имплантации и последующем протезировании. В нашей клинике всегда работают совместно 2 доктора - хирург-имплантолог и ортопед.
• Хирурги-имплантологи владеют всеми видами имплантации (в том числе сразу после удаления, с немедленной нагрузкой временной коронкой, при полном отсутствии зубов).
• Клиника Кидди Дентал - это всегда новые технологии. Они позволяют провести имплантацию без разрезов и швов (по показаниям). Применяется щадящий метод удаления минимального фрагмента десневой ткани, операция проходит более комфортно, а восстановительный период меньше.
• Ортопеды делают протезирование на имплантатах, сохраняя функцию и эстетику натуральных зубов. То есть новыми искусственными зубами будет удобно жевать, вы будете красиво улыбаться.
• Антистресс-методы. У нас можно лечиться в поверхностной седации или в длительной седации. И вы не заметите, как быстро закончится лечение.












































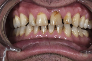
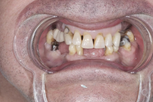
Варианты при частичном отсутствии зубов понятны. А что делать, если своих зубов практически нет? Раньше пациент мог рассчитывать только на съемный акриловый протез. Сегодня в таком случае есть выбор - это имплантация "Все на 4" – на 4 имплантах или "Все на 6" – на 6 имплантах и последующее несъемное протезирование. Например, когда нет ни одного зуба на верхней или нижней челюсти. Установка всего лишь 4 (или 6) искусственных корней в костную ткань на каждой челюсти. В дальнейшем – фиксация несъемного протеза. Может ли это выглядеть как искусственная десна? Нет. Конструкция формирует естественный контур десны, идеальный контакт протеза со слизистой. Такие конструкции надежны, комфортны, обеспечивают хорошую эстетику. Жизнь всех пациентов меняется кардинально: теперь можно нормально жевать, разговаривать и улыбаться. Это хороший Anti-Age эффект: минус 10-15 лет к возрасту. Мы получаем восторженные отзывы от наших пациентов, которые теперь живут полноценной жизнью. Возможен еще съемный или условно съемный протезы – это определяет врач, исходя из медицинских показаний.

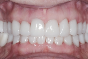
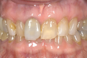
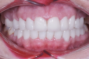
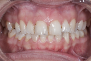
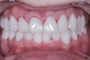
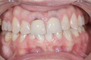
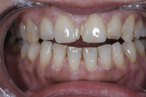
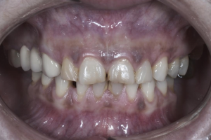
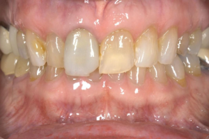
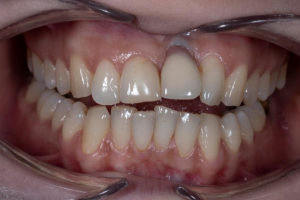
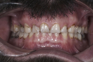
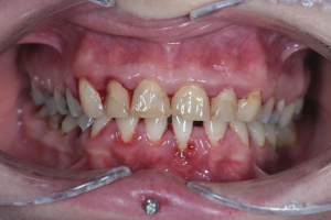
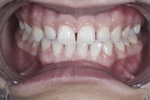
Главные требования к коронкам: прочность и высокая эстетика. Искусственный зуб должен служить долго и при этом не отличаться от настоящего. Какие коронки ставятся на имплантаты? Керамические. В большинстве случаев мы используем именно керамические коронки. Это премиальная эстетика и прочность. Керамические коронки хороши как в зоне улыбки, так и на жевательных зубах. Они очень красиво смотрятся за счет полупрозрачности - коронки невозможно отличить от своих зубов. Керамика не воспринимается организмом как чужеродный материал, не впитывает пигмент (не темнеет). Металлокерамические. Прочные, долговечные, более доступные по цене. С помощью металлокерамических коронок можно реставрировать жевательные зубы. Циркониевые. Их основа - диоксид циркония, не вызывает аллергии, практически не имеет противопоказаний. Такие коронки более эстетичны, чем металлокерамика. Но немного проигрывают керамическим в эстетике. Они дороже металлокерамических.
• Планированием всего лечения в Медсар занимается стоматолог-ортопед. Он же будет делать протезирование после имплантации. Так что это первый специалист, к которому вам нужно идти, если нужна имплантация. • Будет детальная диагностика: характер смыкания зубов, работа челюстных суставов, анализ эстетики улыбки и овала лица. • Обязательна компьютерная томография. • Использование 3D-планирования. Современная стоматология позволяет моделировать будущую имплантацию сначала на экране монитора в 3D (“виртуальная карта” имплантации. Затем положение имплантата точно переносится в полость рта. Такое планирование дает возможность врачам провести операцию с ювелирной точностью. • Дальше - консультация хирурга-имплантолога, определение метода имплантации, количества искусственных корней. • Возможно, вам потребуется подготовка к имплантации - костная пластика или синус-лифтинг. • Установка имплантатов. Мы работаем только с лучшими производителями, все имплантаты обладают высоким процентом приживаемости. • Период приживления имплантатов. На этот период вы носите временные коронки, протезы. • Изготовление и фиксация постоянных коронок, "мостов" или полных несъемных протезов.

Cъёмные зубные протезы — это ортопедические конструкции для тех случаев, когда отсутствуют несколько зубов. Или когда зубов нет совсем — на одной или на обеих челюстях. Такой протез пациент может установить и снять самостоятельно. Если по каким-то причинам вам невозможно установить имплантаты, стоматолог-ортопед может порекомендовать съёмные зубные протезы. Современные съемные протезы практически незаметны, легки, не доставляют неприятных ощущений в ношении. При правильном уходе и хорошей гигиене они очень долго не изменяют свой внешний вид и могут служить годами.Стоматологи-ортопеды нашей клиники применяют все виды протезирования, которые существуют на сегодняшний день.
- Съемный протез при отсутствии нескольких зубов. Он опирается частью своей конструкции на десну, а другой на сохранившиеся зубы пациента, если таковые имеются.
- Съемный протез при отсутствии всех зубов. На пластиночном или нейлоновом базисе фиксируются искусственные зубы. Протез крепится к челюсти методом присасывания.
Изготавливают основы съемных протезов из двух материалов: акрила и безакрилового материала Акри-фри.
Такой вид протезирования остается популярный по главной причине: более доступная цена по сравнению с другими способами.
Изготавливать их достаточно просто и быстро
Потребуется гораздо меньше этапов подготовки. Это значит, что вам не придется регулярно видеть вашего стоматолога
Съемные протезы гораздо дешевле несъемного протезирования на имплантатах
На приемы к докторам все же ходить придется. Съемный протез надо периодически адаптировать под изменяющуюся десну и подвижные зубы.
Съесть аппетитный, сочный стейк с таким протезом у вас вряд ли получится, т.к. он не сможет полностью восстановить жевательные функции. Максимум до 50 - 60% в зависимости от ситуации и особенностей самого протеза.
Съемный протез не имеет жесткой фиксации, поэтому он достаточно подвижен и может доставить серьезный дискомфорт.
Главный недостаток полного съемного протеза: он опирается только на слизистую, под ним уходит костная ткань, так как она не получает достаточной жевательной нагрузки. Пациенты, которые долго используют съемные протезы, имеют выраженную атрофию и убыль костной ткани. В дальнейшем это сильно усложняет установку имплантатов.

Лечат
зубы во сне

Ежегодно
лечат зубы

делают проф чистку

Приходят на проф осмотры
Ставим красивые, композитные, современные пломбы. Даем гарантию до смены зубов.

Лечение за 1 посещение. Пришлите, фотографию полости рта ребенка и снимки, составим план лечения и запланируем лечение за 1 посещение.
Сохраняем здоровья малышей с самых первых дней, только качественное, безопасное микропротезирование у детей.

Коронок ставим ежегодня для сохранения зубов
Мы рекомендуем рассматривать съемный протез как временную меру, пока нет возможности установить постоянный протез с опорой на имплантаты.
Есть несколько вариантов протезирования на имплантатах при отсутствии зубов:
- Протез на двух имплантатах. Сегодня в стоматологии появилась возможность установить хотя бы два дентальных имплантата, которые будут лучше удерживают протез или могут перевести его в разряд “условно съемных” с помощью крепежных элементов, которые делают конструкцию надёжнее.
- Протезирование на четырех имплантатах All-on-4. Схема - на фото ниже: в челюсть вставляется 4 имплантата под специально выверенными углами. На эти имплантата крепится полный протез, который не нужно снимать.
- Протезирование на шести или восьми имплантатах. Полный несъемный протез крепится на 6 или на 8 имплантатах.
Варианты при частичном отсутствии зубов понятны. А что делать, если своих зубов практически нет?Раньше пациент мог рассчитывать только на съемный акриловый протез. Сегодня в таком случае есть выбор - это имплантация "Все на 4" – на 4 имплантах или "Все на 6" – на 6 имплантах и последующее несъемное протезирование. Например, когда нет ни одного зуба на верхней или нижней челюсти.Установка всего лишь 4 (или 6) искусственных корней в костную ткань на каждой челюсти. В дальнейшем – фиксация несъемного протеза. Может ли это выглядеть как искусственная десна? Нет. Конструкция формирует естественный контур десны, идеальный контакт протеза со слизистой. Такие конструкции надежны, комфортны, обеспечивают хорошую эстетику. Жизнь всех пациентов меняется кардинально: теперь можно нормально жевать, разговаривать и улыбаться. Это хороший Anti-Age эффект: минус 10-15 лет к возрасту. Мы получаем восторженные отзывы от наших пациентов, которые теперь живут полноценной жизнью.Возможен еще съемный или условно съемный протезы – это определяет врач, исходя из медицинских показаний


Сегодня в стоматологии существует несколько видов обезболивания — для безопасности и комфорта пациента по время лечения зубов.
В Кидди Дентал используются все существующие методы анестезии:
— местная анестезия: полное снижение чувствительности к боли в определенном месте. Пациент при этом находится в сознании, все видит, слышит, может говорить. Но он не чувствует боли в той зоне, где работает врач.
— седация: (закись азота-кислородная седация, веселящий газ): вдыхание воздушной смеси через маску расслабляет пациента, снимает тревожность, что помогает при проведении достаточно сложных стоматологических процедур. Седация не отменяет применения местного обезболивания.
— наркоз: (медикаментозный сон, «общий наркоз»): безопасное лечение во сне с использованием сертифицированного препарата Севоран. Лечение проходит под контролем бригады анестезиологов, осуществляется непрерывное наблюдение за пациентом.
Последнее слово в выборе анестезии остается за врачом.
В самом начале использования съемных протезов может наблюдаться:
снижение вкусовых ощущений;
повышенное слюноотделение;
затруднения с дикцией.
Но пациент привыкнет к съемному протезу, и со временем все эти неприятные ощущения пройдут. Чтобы привыкание шло скорее, рекомендуется читать вслух, побольше улыбаться и разговаривать, первое время стараться не есть твердую пищу.





Семейная областная стоматология "Кидди Дентал" - это команда компетентных врачей, каждый из которых знает и любит свое дело. Опыт наших врачей, использование современного оборудования и надежных материалов позволят проводить лечение любой сложности.




















г. Тюмень, Чернышевского 2б к8