Kiddy Dental / Врачи / Лазуренко Анна Ивановна
Стоматолог-ортодонт, стаж работы более 14 лет

Профессиональные навыки: лечение зубочелюстных аномалий в любом возрасте - с применением всех видов брекет-систем (керамических, сапфировых, металлических, лингвальных, самолигирующих). Лечение "без брекетов" с использованием съемных индивидуальных кап Invisalign. Комплексное лечение пациентов, подготовка к имплантации и протезированию.
Специализация доктора: использует самые передовые методы планирования и лечения. Комбинированное лечение ортогнатических пациентов совместно с челюстно-лицевым хирургом.












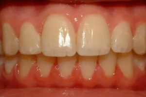
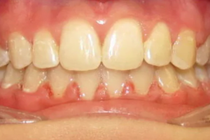
Наши ортодонты — специалисты в микроэстетике. Мы делаем не просто зубы ровными, а добиваемся идеала — голливудской улыбки. Работаем со всеми брекет-системами: керамическими, сапфировыми, лингвальными (невидимыми). Можем предложить исправление прикуса без брекетов - на элайнерах Invisalign. Ваше лечение будет незаметным.
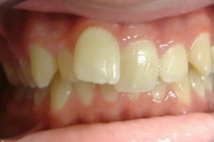
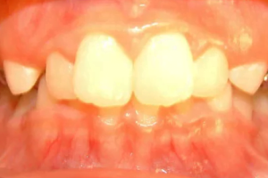
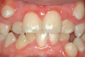
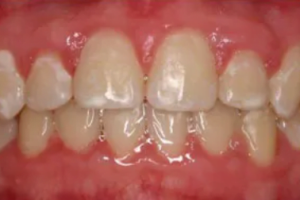
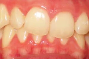
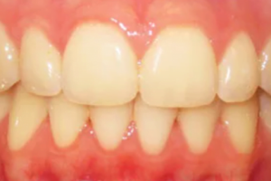
Есть мнение, что зубы можно исправлять только в юном возрасте. У взрослых зубы уже не двигаются: рост завершен, кость укрепилась. Это абсолютно не так! Перемещение зубов возможно в любом возрасте. У всех взрослых пациентов зубу будут двигаться так, как задумал врач-ортодонт.
Стоматологи-ортодонты нашей клиники - специалисты по исправлению прикуса и выравниванию зубов пациентам всех возрастов. Мы владеем всеми современными методиками, используем все виды брекетов, проводим ортодонтическое лечение на капах Инвизилайн.
Каждый брекет – это микрозамочек, который позволяет направлять и контролировать перемещение зуба в трех плоскостях (вверх/вниз; вправо/влево; вперёд/назад). Для каждого зуба предусмотрены различные варианты конструкций брекетов, в зависимости от того, куда следует переместить зуб.
Брекет приклеивается к зубу с помощью специального клея (аналога пломбировочного материала). В паз брекета закрепляется дуга, которая связывает все зубы в единую цепь.
Именно дуги отвечают за перемещение зубов. Изготовлены они из специальных медицинских сплавов и обладают «памятью формы». Когда дуга закрепляется на неровных зубах и на ней образуются изгибы, она стремится принять первоначальную форму, и постепенно тянет за собой брекеты, приклеенные к зубам. Зубы на этих дугах перемещаются буквально, как по рельсам, корректируется положение корней зубов.





Семейная областная стоматология "Кидди Дентал" - это команда компетентных врачей, каждый из которых знает и любит свое дело. Опыт наших врачей, использование современного оборудования и надежных материалов позволят проводить лечение любой сложности.














Лечение зубов может включать различные процедуры, в зависимости от состояния зубов и проблемы, с которой вы сталкиваетесь. Вот некоторые из наиболее распространенных лечебных процедур:
1. Пломбирование: Это процедура, при которой стоматолог удалит пораженную кариесом ткань и заменит ее пломбой из различных материалов, таких как амальгамные или композитные пломбы.
2. Корневое лечение: Это процедура, которая выполняется в случае глубокой кариеса или воспаления зубного нерва. Стоматолог очищает корневые каналы, удаляет инфицированную ткань и заполняет каналы специальным материалом для предотвращения дальнейшей инфекции.
3. Имплантация зубов: При полной потере зуба стоматолог может рекомендовать имплантацию, при которой искусственный корень (имплант) устанавливается в костную ткань челюсти, а затем на него закрепляется заменяющая зуб коронка.
4. Коронки и мосты: Если у зуба имеются большие повреждения или он отсутствует, стоматолог может предложить установить коронку - искусственную керамическую или металлическую оболочку, которая покрывает зуб и восстанавливает его форму и функцию. Мост используется для замены одного или нескольких отсутствующих зубов с помощью коронок, соединенных между собой.
5. Ортодонтическое лечение: Если у вас есть неправильное положение зубов или неправильный прикус, стоматолог может рекомендовать ортодонтическое лечение для исправления этой проблемы. Это может включать использование брекетов, невидимых выравнивателей или других ортодонтических аппаратов.
Помните, что выбор лечения будет зависеть от вашей конкретной ситуации и рекомендаций стоматолога. Лучше всего обратиться к профессионалу для консультации и диагностики вашей проблемы с зубами.








Во-первых, перед ортодонтическим лечением следует вылечить кариес, восстановить все разрушенные зубы.
Во-вторых, надо выполнить диагностическое обследование, которое обязательно включает в себя снятие слепков (оттисков) с зубов, анализ гипсовых моделей (которые изготавливаются на основании оттисков зубов), конусно-лучевую компьютерную томографию (КЛКТ).
Анализ компьютерной томограммы позволяет врачу:
оценить эстетику лица (пропорции верхней, средней и нижней частей лица);
определить, достаточно ли пропорционально и гармонично развита зубочелюстная система;
выявить причину неправильного прикуса;
выбрать индивидуальный план лечения с учётом особенностей строения каждого пациента;
оценить, какие изменения произойдут с лицом после окончания ортодонтического лечения.
Может появиться небольшой дискомфорт. Неприятные ощущения связаны с тем, что внутри костной ткани возникает постоянное напряжение за счёт работы дуги. Связки верхних зубов адаптируются за 7-10 дней.На нижнем зубном ряду костная ткань имеет большую плотность, поэтому привыкание может продлиться до 7 дней у подростков и до 10-12 дней у взрослого пациента.
Вторая причина дискомфорта после установки брекетов – раздражение слизистой оболочки щек, губ (при фиксации наружных брекетов) или языка (при лингвальных брекетах). Во время жевания, глотания, разговора выступающие элементы брекет-системы вызывают «натирание». В ответ на постоянное раздражение на слизистой формируется «защитный роговой слой» - как мозоль на открытых участках кожи. И чувствительность постепенно снижается.
г. Тюмень, Чернышевского 2б к8