Kiddy Dental / Услуги / Брекеты
Нужно ли исправлять проблемы с прикусом до смены молочных зубов на постоянные? Кажется, что не обязательно - ведь молочные зубы все равно выпадут и появятся новые. К сожалению, дефект не исчезнет сам по себе, даже если был малозаметен. Поскольку зубочелюстная система продолжит развиваться, проблема с возрастом только закрепится, и исправить ситуацию будет гораздо сложнее.
То есть, раннее ортодонтическое лечение поможет избежать усугубления проблемы, создаст благоприятные условия для дальнейшего прорезывания постоянных зубов. А также сформирует гармоничный профиль лица, что немаловажно для самооценки ребенка.
Лечение направлено на становление правильных функций – жевания, глотания, дыхания и устранение вредных привычек. Это является первым этапом ортодонтического лечения, которое можно проводить в 6-12 лет.


- Прогнозируемое развитие постоянных зубов;
- Создание условий для прорезывания зубов в случаях дефицита места;
- Возможность искоренить вредные привычки (сосание пальца, прокладывание языка);
- Коррекция серьезных аномалий прикуса – перекрестный, глубокий, открытый прикус;
- Снижение риска травмы сильно выступающих зубов;
- Упрощение и удешевление последующей коррекции прикуса;
- Улучшение внешнего вида ребенка, повышение его самооценки;
Наиболее активный рост детей - до 12 лет. За счет этого в раннем возрасте можно изменять направление роста челюстей, создавать пространство для прорезывания постоянных зубов, направлять их рост в правильное положение и даже менять форму лица.
Мы не относим себя к перфекционистам и не считаем, что любой прикус нужно доводить до идеала или общего стандарта. Но как врачи, мы понимаем, что долговечность зубов во многом зависит от их расположения и соотношения между челюстями.
Прикус - это часть опорно-двигательной системы человека. Его влияние на формирование осанки, силы мышц, произношения, профиля лица не менее важно, чем регулярные занятия спортом.Вся мышечная и костная система - это единый комплекс связанных между собой структур. Поэтому наибольший вклад в здоровье можно получить, проведя коррекцию проблем прикуса в раннем возрасте.
- Скученность, неровное расположение зубов;
- Одна из челюстей сильно выдается вперед или западает;
- Зубы контактируют неправильно или не смыкаются вовсе;
- Есть асимметрия или диспропорция лица;
- Проблемы с произношением;
- Прикусывание щек или губы;
- Ранняя потеря или поздняя смена молочных зубов;
- Молочный зуб был удалён раньше срока по терапевтическим показаниям;
- Беспокоит скрежет или сильное сжатие зубов;
- Проблемы при жевании или откусывании пищи;
- Щелканье или хруст височно-нижнечелюстного сустава при жевании;
- Ротовое дыхание;
- Сосание большого пальца;

- Тесное положение зубов, скученность: происходит при недостатке места в зубном ряду.
- Смещение средней линии: средняя линия верхних центральных резцов не совпадает с нижней, либо не совпадает со средней линией лица.
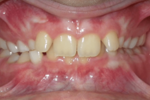
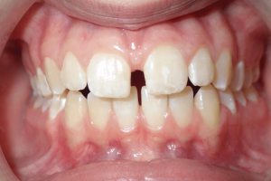
- Диастемы и тремы: большие пространства между зубами из-за несоответствия размеров челюсти и зубов, либо из-за их отсутствия.
- Перекрестный прикус: при смыкании нижние зубы перекрывают верхние в боковом или переднем отделе по принципу “ножниц”, или верхние чрезмерно перекрывают нижние в боковом отделе.
- Открытый прикус: при смыкании остается расстояние между передними верхними и нижними зубами.
- Глубокий прикус: верхние зубы избыточно перекрывают нижние, при этом иногда нижняя челюсть бывает слабо развита.
- Мезиальный прикус: нижние передние зубы перекрывают верхние и нижняя челюсть избыточно выдается вперед.
- Дистальный прикус: верхняя челюсть более развита, чем нижняя, за счет чего передние зубы выдаются вперед.
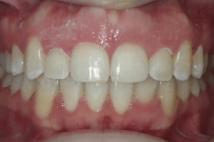
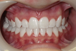
Брекет-система - это классика ортодонтического лечения. Принцип работы брекетов - жесткое крепление замкá к каждому зубу в отдельности. Это позволяет изменять наклон, ось, перемещать зубы и зубные ряды в правильном направлении, добиваться исключительной эстетики и долгосрочного результата.
Оптимальными сроками начала ортодонтического лечения считаются 12 - 18 лет и старше. В любом возрасте эффективность использования брекет-системы достаточно высокая, отличаются только длительность закрепление результата (ретенции). В детском возрасте этот срок составляет пару лет, у взрослых ретенция может быть вплоть до пожизненной.
На консультации у ортодонта вы смело можете высказывать свои ожидания от процесса лечения. Возможности сделать его максимально комфортным для вас сейчас практически безграничны.Для чего нам совершенствовать так давно и стабильно работающие методики? Зачем мы ищем новое, если классические брекеты отлично помогают?К этому нас побуждают наши пациенты, новые сложные случаи в практике, нерешенные проблемы. Мы не привыкли разводить руками и говорить, что бессильны или зашли в тупик. Мы находим решения даже там, где, казалось, не сработает уже ничего.

Лечат
зубы во сне

Ежегодно
лечат зубы

делают проф чистку

Приходят на проф осмотры
Ставим красивые, композитные, современные пломбы. Даем гарантию до смены зубов.
Лечение за 1 посещение. Пришлите, фотографию полости рта ребенка и снимки, составим план лечения и запланируем лечение за 1 посещение.
Сохраняем здоровья малышей с самых первых дней, только качественное, безопасное микропротезирование у детей.

Коронок ставим ежегодня для сохранения зубов


Сегодня в стоматологии существует несколько видов обезболивания — для безопасности и комфорта ребенка по время лечения зубов.
В Кидди Дентал используются все существующие методы анестезии:
— местная анестезия: полное снижение чувствительности к боли в определенном месте. Ребенок при этом находится в сознании, все видит, слышит, может говорить. Но он не чувствует боли в той зоне, где работает врач.
— седация: (закись азота-кислородная седация, веселящий газ): вдыхание воздушной смеси через маску расслабляет ребенка, снимает тревожность, что помогает при проведении достаточно сложных стоматологических процедур. Седация не отменяет применения местного обезболивания.
— наркоз: (медикаментозный сон, «общий наркоз»): безопасное лечение во сне с использованием сертифицированного препарата Севоран. Лечение проходит под контролем бригады анестезиологов, осуществляется непрерывное наблюдение за маленьким пациентом.
Последнее слово в выборе анестезии остается за врачом. Учитываются много факторов: возраст ребенка, объем лечения, есть ли у ребенка острая боль, насколько хорошо прошла адаптация, готов ли малыш сотрудничать с врачом.
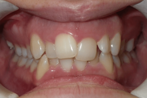
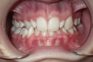
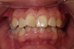
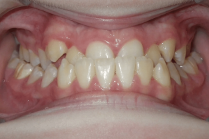
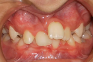
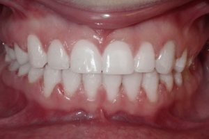
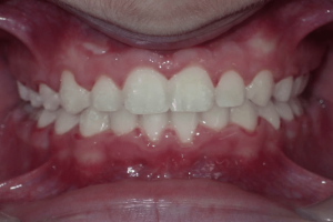
Прикус — соотношение зубов верхней и нижней челюстей, то есть то, как зубы верхней челюсти сходятся с зубными единицами нижней челюсти при закрытии рта. Нормальный прикус предполагает, что верхние частично перекрывают нижние зубы.
Существуют различные типы прикуса, которые классифицируются как правильные или неправильные. Неправильный прикус может привести к речевым нарушениям, таким как шепелявость и проблемы с произношением некоторых звуков, вызвать патологическую стираемость зубов, боль в челюсти и головные боли. А также привести к проблемам с самооценкой, особенно у детей и подростков, которые могут стать объектом насмешек и издевательств со стороны сверстников.
У 90% людей встречаются нарушения прикуса, и половина из них нуждается в ортодонтическом лечении, что может быть решено путем установки брекетов.
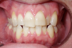
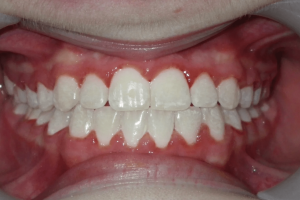
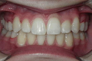
В клинике Kiddy Dental можно подобрать брекет-системы для юных пациентов, которые помогут решить проблемы неправильного прикуса, такие как:
• скученность зубов;
• дистопия;
• аномалии прикуса;
• ретенция зубов мудрости.
Мы рекомендуем записаться на прием к ортодонту, как минимум для того, чтобы убедиться, что у ребенка все в порядке. К слову, в клинике Кидди Дентал вы можете получить бесплатную консультацию ортодонта.
Детям можно устанавливать брекет-системы в разном возрасте. Обычно рекомендуется начинать консультации с ортодонтом уже в возрасте 7 лет, чтобы оценить рост и развитие зубов и челюстей ребенка. Однако, установка брекетов может быть отложена до тех пор, пока все постоянные зубы не вырастут — это происходит примерно в возрасте 12-14 лет. Если у ребенка есть серьезные проблемы с прикусом или другие ортодонтические проблемы, установка брекет-системы может быть рекомендована в более раннем возрасте. В таких случаях врач-ортодонт рекомендует использование съемных аппаратов, например, вестибулярных пластинок или трейнеров. В любом случае, перед установкой брекет-системы детям, необходимо провести тщательное обследование, чтобы убедиться, что зубы и челюсти готовы к такому лечению.
Существует несколько видов брекетов, которые используются для лечения ортодонтических проблем у детей. Некоторые из них:
• Металлические — наиболее распространенный вид брекетов. Они состоят из металлических скобок, которые крепятся на передние поверхности зубов с помощью цемента, а между скобками проходят металлические дуги. Этот тип брекетов надежен и долговечен, и может использоваться для лечения различных видов ортодонтических проблем.
• Керамические — брекеты, которые имеют ту же форму и размеры, что и металлические брекеты, но изготавливаются из прозрачного керамического материала. Они менее заметны на зубах, но более хрупкие и требует тщательного ухода.
• Лингвальные — это брекеты, которые крепятся на внутреннюю поверхность зубов (т.е. с той стороны, которая обращена к языку). Этот тип брекетов невидим снаружи, но может быть более трудным в уходе и может вызывать дискомфорт в начале лечения.
• Самолигирующие — это брекеты, которые не требуют эластичных резинок для фиксации дуг. Вместо этого, они имеют клапаны или дужки, которые позволяют дугам держаться на месте. Самолигирующие брекеты обычно более комфортны, чем традиционные брекеты, и требуют меньше посещений ортодонта для регулировки.
Каждый тип брекетов имеет свои преимущества и недостатки, и решение о выборе конкретного типа зависит от индивидуальных потребностей и желаний ребенка и его родителей, а также ортодонтических проблем, которые требуется решить.
Процесс установки брекетов в Kiddy Dental обычно включает несколько шагов:
1. Первичная консультация: перед установкой брекетов врач проводит первичную консультацию, чтобы оценить состояние зубов и прикуса ребенка. Во время консультации врач также может обсудить с родителями все возможные варианты лечения и ответить на все вопросы.
2. Отпечаток зубов: чтобы изготовить индивидуальные брекеты, врач должен сделать отпечаток зубов. Для этого ребенку предлагают сделать отпечаток с помощью специальной массы, которую нужно поместить в рот и прижать к зубам. Этот процесс обычно занимает несколько минут.
3. Установка брекетов: когда индивидуальные брекеты готовы, врач-ортодонт начинает процесс установки. Во время процедуры ребенок лежит на кресле, а врач наносит специальный клей на зубы и прикрепляет брекеты к каждому зубу.
4. Закрепление дуги и резинок: после того, как брекеты прикреплены к зубам, врач закрепляет на них дуги и резинки. Это позволяет ортодонту правильно направлять зубы и корректировать прикус ребенка.
5. Обучение уходу за брекетами: перед тем, как ребенок покинет кабинет, врач-ортодонт обучает его правильному уходу за брекетами. Обычно ребенку дают инструкции по чистке зубов, использованию зубной нити и интердентальных щеток.
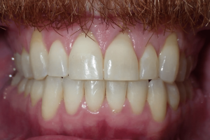
В целом, процесс установки брекетов в Kiddy Dental довольно прост и не вызывает боли и неприятных ощущений у детей. Родители могут быть уверены, что их дети находятся под наблюдением опытных врачей-стоматологов, которые гарантируют безопасность и эффективность лечения.





Семейная областная стоматология "Кидди Дентал" - это команда компетентных врачей, каждый из которых знает и любит свое дело. Опыт наших врачей, использование современного оборудования и надежных материалов позволят проводить лечение любой сложности.





















Мы уверены в высоком качестве работы наших стоматологов, поэтому даем гарантию – все пломбы, которые мы поставили на молочные зубы, прослужат до момента смены зубов на постоянные! Гарантия действует на ту поверхность зуба, где поставлена пломба, после полной санации полости рта в клиниках Кидди Дентал (то есть, если во рту у ребенка не осталось непролеченных зубов), при посещении пациентом профосмотров и процедур профессиональной гигиены в Кидди Дентал по графику, составленному лечащим врачом.


















г. Тюмень, Чернышевского 2б к8