Kiddy Dental / Врачи / Муталлимов Султан Яшарович
Стоматолог-ортодонт, опыт работы более 7 лет

Муталлимов Султан Яшарович — Специализация: эстетическая и функциональная стоматология, исправление прикуса и выравнивание зубного ряда.Стать ортодонтом – мечта детства, ведь мои родители – тоже стоматологи и процесс создания красивых улыбок меня завораживал еще с малых лет. Сегодня я специализируюсь на лечении взрослых и подростков и владею всеми современными технологиями в ортодонтии: съемные и несъемные аппараты, наружные и внутренние брекет-системы, лечение без брекетов на прозрачных каппах, комбинированное ортодонто-хирургическое лечение.Обожаю свою работу, своих пациентов, не останавливаюсь на достигнутом и всегда стремлюсь к совершенству. Убеждена, что здоровая и красивая улыбка способна изменить жизнь человека. Улыбайтесь, даже если вам грустно, ведь кто-то может влюбиться в вашу улыбку!












Лечение зубов может включать различные процедуры, в зависимости от состояния зубов и проблемы, с которой вы сталкиваетесь. Вот некоторые из наиболее распространенных лечебных процедур:
1. Пломбирование: Это процедура, при которой стоматолог удалит пораженную кариесом ткань и заменит ее пломбой из различных материалов, таких как амальгамные или композитные пломбы.
2. Корневое лечение: Это процедура, которая выполняется в случае глубокой кариеса или воспаления зубного нерва. Стоматолог очищает корневые каналы, удаляет инфицированную ткань и заполняет каналы специальным материалом для предотвращения дальнейшей инфекции.
3. Имплантация зубов: При полной потере зуба стоматолог может рекомендовать имплантацию, при которой искусственный корень (имплант) устанавливается в костную ткань челюсти, а затем на него закрепляется заменяющая зуб коронка.
4. Коронки и мосты: Если у зуба имеются большие повреждения или он отсутствует, стоматолог может предложить установить коронку - искусственную керамическую или металлическую оболочку, которая покрывает зуб и восстанавливает его форму и функцию. Мост используется для замены одного или нескольких отсутствующих зубов с помощью коронок, соединенных между собой.
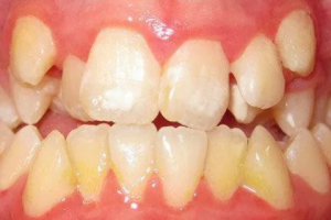
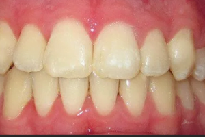
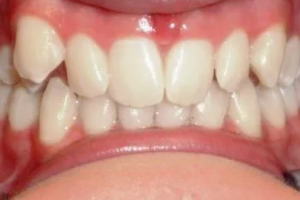
5. Ортодонтическое лечение: Если у вас есть неправильное положение зубов или неправильный прикус, стоматолог может рекомендовать ортодонтическое лечение для исправления этой проблемы. Это может включать использование брекетов, невидимых выравнивателей или других ортодонтических аппаратов.
Помните, что выбор лечения будет зависеть от вашей конкретной ситуации и рекомендаций стоматолога. Лучше всего обратиться к профессионалу для консультации и диагностики вашей проблемы с зубами.





Семейная областная стоматология "Кидди Дентал" - это команда компетентных врачей, каждый из которых знает и любит свое дело. Опыт наших врачей, использование современного оборудования и надежных материалов позволят проводить лечение любой сложности.

















Исправление прикуса осуществляется специалистом ортодонтом или стоматологом-ортопедом. Он проводит диагностику и определяет необходимые процедуры для исправления прикуса.
Наиболее распространенным методом является ношение брекет-системы. Брекеты - это небольшие металлические или керамические приспособления, которые крепятся на зубы и направляют их в нужное положение. Брекеты могут быть видны или невидимыми (локальное крепление на внутреннюю сторону зубов). Их необходимо регулярно подтягивать и настраивать для достижения желаемого результата.
Кроме брекет-систем, могут использоваться и другие методы исправления прикуса, такие как ретейнеры, брекеты с использованием прозрачных трейнеров (инвизилайн), аппараты Форсайт и т.д.
Результаты исправления прикуса могут занять от нескольких месяцев до нескольких лет, в зависимости от сложности проблемы и регулярности использования и настройки устройств.
Важно обратиться к квалифицированному специалисту, который проведет все необходимые исследования и выберет оптимальный способ исправления прикуса в каждом конкретном случае.






г. Тюмень, Чернышевского 2б к8